Découvrez la céramique dentaire capdentaire : Vous avez une dent brisée, une couronne métallique qui commence à vous complexer ou peut-être, venez-vous d’apprendre qu’une de vos dents a besoin d’être couronnée après une dévitalisation ? Dans tous ces cas, une question revient inévitablement : quelle est la meilleure solution pour restaurer cette dent durablement, sans que ça se voie, et sans vider complètement son compte en banque ?
La réponse, aujourd’hui, s’appelle souvent céramique dentaire capdentaire. Un terme qui désigne une famille de restaurations prothétiques modernes, les couronnes tout-céramique, qui ont profondément transformé la dentisterie esthétique et fonctionnelle ces dernières années. Fini le liseré métallique gris au bord de la gencive. Finie la fausse dent qui « fait fausse dent ». La céramique moderne imite l’émail naturel avec une précision bluffante, résiste aux chocs masticatoires et dure des dizaines d’années si elle est bien entretenue.
Mais encore faut-il comprendre de quoi il s’agit vraiment : comment est fabriquée une couronne céramique ? Quels sont les avantages par rapport à la résine ou au métal ? Quel est le prix d’un capdentaire céramique en France ? Et que change concrètement l’arrivée de l’imprimante 3D dentaire dans la fabrication de ces prothèses ?
Notre article répond à toutes ces questions, sans jargon inutile, avec des informations claires et honnêtes pour vous aider à prendre la meilleure décision pour votre santé bucco-dentaire.
Sommaire
Qu’est-ce qu’un capdentaire céramique ?
Pourquoi poser une couronne céramique ? les situations qui le justifient
Les 3 matériaux céramiques : Lequel choisir selon sa situation ?
Dents résine capdentaire vs céramique : Le comparatif honnête
Céramique dentaire capdentaire : Bienfaits et avantages
Imprimante 3D dentaire capdentaire : La révolution numérique en cabinet
Comment se déroule la pose d’un capdentaire céramique ?
Prix d’un capdentaire céramique : Ce qu’il faut prévoir en France
Qu'est-ce qu'un capdentaire céramique ?
Une coiffe qui remplace ce qui ne peut plus être sauvé autrement
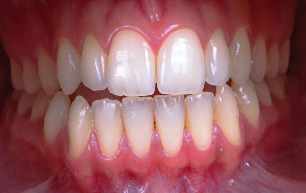
Un capdentaire, terme technique souvent utilisé pour désigner une couronne dentaire, est une coiffe artificielle qui recouvre entièrement la partie visible d’une dent, de la pointe jusqu’au bord de la gencive. Contrairement à un simple plombage ou un composite qui comble un trou, la couronne enveloppe la dent dans sa totalité, comme un capuchon protecteur qui la reconstitue dans sa forme anatomique d’origine.
C’est une prothèse fixe : une fois scellée en bouche, elle ne se retire pas. Elle fait partie intégrante de votre dentition et vous l’oubliez très rapidement à condition qu’elle soit bien fabriquée et bien ajustée. Elle vous permet de mastiquer normalement, de parler sans gêne, et de sourire sans complexe.
Pourquoi « tout-céramique » change tout
Pendant des décennies, les couronnes dentaires étaient fabriquées avec une armature métallique recouverte de porcelaine. Le résultat était fonctionnel, mais pas toujours esthétique : avec le temps, un liseré gris ou noir apparaissait au niveau de la gencive, trahissant la présence de métal sous la porcelaine. Sans parler des risques d’allergie au nickel ou au chrome chez certains patients.
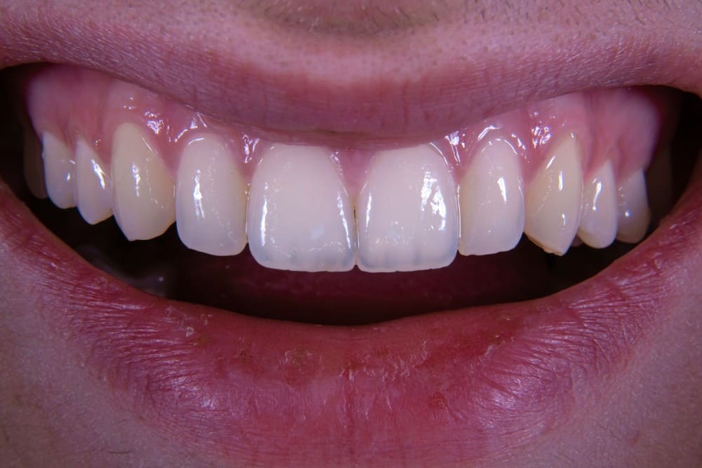
Le capdentaire céramique moderne abandonne totalement le métal. Il est fabriqué dans un seul matériau céramique, zircone, disilicate de lithium (E-max), ou porcelaine feldspathique, qui imite non seulement la couleur, mais aussi la translucidité naturelle de l’émail. La lumière traverse la céramique comme elle traverse une vraie dent, créant cette profondeur visuelle et cet éclat naturel qui rendent la prothèse quasiment indiscernable des dents voisines. C’est là que réside la vraie révolution esthétique de ces matériaux.
Lire également notre article que deviennent les cercueils en fin de concession ici
Pourquoi poser une couronne céramique ? les situations qui le justifient
La dent dévitalisée : une protection indispensable
C’est la situation la plus courante qui mène à la pose d’un capdentaire céramique. Lorsqu’une dent est dévitalisée, c’est-à-dire que le nerf a été retiré lors d’un traitement canalaire, elle perd son hydratation interne et devient progressivement plus cassante. Sans l’apport sanguin du nerf, les fibres qui donnaient à la dent sa souplesse se déshydratent. La dent, techniquement « morte« , peut se fendre lors d’un simple effort masticatoire, parfois irrémédiablement.
La couronne céramique agit alors comme un bouclier périphérique qui maintient les parois de la dent serrées ensemble, absorbe les chocs et distribue les pressions masticatoires sur l’ensemble de la structure. Sans elle, une dent dévitalisée sur une molaire ou une prémolaire a une espérance de vie réduite. Avec elle, la racine peut tenir des décennies.
Céramique dentaire capdentaire : carie volumineuse et le délabrement important
Il existe un seuil au-delà duquel les restaurations classiques, composites, plombages en amalgame, ne peuvent plus assurer leur mission. Lorsque plus de la moitié de la surface de la dent est atteinte, la structure résiduelle est trop fragile pour supporter la pression d’une simple obturation. La résine se descelle, le plombage craque, et la dent continue de se dégrader.
Le capdentaire céramique offre alors une solution définitive : il reconstitue l’intégralité du volume perdu, offre une étanchéité parfaite sur les bords, et élimine les espaces où les bactéries pourraient s’infiltrer pour provoquer de nouvelles caries sous la restauration. Garder sa propre racine sous une prothèse est toujours préférable à l’extraction, c’est une règle fondamentale en dentisterie moderne, car la racine maintient l’os de la mâchoire en bonne santé.
Céramique dentaire capdentaire : la fracture traumatique
Un accident, un choc sportif, une chute, une mauvaise morsure sur quelque chose de dur : les fractures dentaires sont fréquentes et souvent dévastatrices. Lorsque la perte de substance est trop importante pour être reconstruite simplement avec un composite, la couronne céramique permet de recréer l’intégralité du volume et de la forme de la dent, avec un résultat esthétique irréprochable particulièrement important lorsque la dent concernée est visible dans le sourire.
Le remplacement d’une dent sur implant
La couronne céramique n’est pas réservée aux dents naturelles abîmées. Elle est également la pièce finale d’une restauration implantaire : posée sur une racine artificielle en titane préalablement intégrée dans l’os de la mâchoire, elle remplace une dent totalement absente sans toucher aux dents voisines saines. Le prothésiste ajuste la forme de la fausse dent pour qu’elle émerge naturellement de la gencive, en imitant parfaitement le profil d’une dent naturelle. Le résultat peut être visuellement indiscernable d’une vraie dent.
Les 3 matériaux céramiques : Lequel choisir selon sa situation ?
La porcelaine feldspathique : le summum de l’esthétique
C’est le matériau qui imite le mieux l’émail naturel. La porcelaine feldspathique possède une translucidité et une profondeur visuelle inégalées, ce qui en fait le choix roi pour les incisives et les canines — les dents visibles au sourire. Le prothésiste travaille ce matériau couche par couche, comme un peintre, en appliquant des poudres de couleurs différentes pour reproduire les nuances subtiles de la dent naturelle : les zones plus opaques à la racine, la translucidité au niveau du bord libre, les micro-reliefs de surface.
Son seul défaut est sa fragilité relative : la porcelaine feldspathique supporte mal les forces importantes de broyage, ce qui la contre-indique généralement sur les molaires. C’est un matériau réservé aux zones esthétiques antérieures, là où l’enjeu est d’abord visuel.
L’E-max (disilicate de lithium) : le meilleur des deux mondes
L’E-max est aujourd’hui le matériau le plus polyvalent et le plus utilisé en dentisterie esthétique moderne. Il combine une résistance mécanique très élevée, quatre fois supérieure à la porcelaine feldspathique, avec une translucidité remarquable. Sa structure cristalline particulière lui permet d’interagir avec la lumière d’une façon très proche de l’émail naturel, tout en supportant les contraintes masticatoires des prémolaires.
On l’utilise pour des couronnes complètes, mais aussi pour des facettes ultra-fines (des coquilles de céramique collées sur la face visible de la dent, sans meulage important), des onlays, et même des bridges de petite étendue. Son adhésion chimique exceptionnelle avec les résines de collage modernes en fait un matériau particulièrement sécurisé sur le long terme. C’est souvent le premier choix des praticiens pour les restaurations antérieures et prémolaires chez les patients qui souhaitent un résultat esthétique optimal.
La zircone : la robustesse sans compromis
La zircone est surnommée « l’acier céramique » dans le monde dentaire et ce surnom est mérité. Sa résistance à la fracture est exceptionnelle, ce qui en fait le matériau de référence pour les molaires soumises aux forces de broyage les plus intenses, et pour les bridges de grande étendue remplaçant plusieurs dents manquantes. Là où l’E-max ou la porcelaine risqueraient de se fissurer, la zircone résiste sans broncher.
Les nouvelles générations de zircone dites « zircone translucide » ou « zircone polychromatique »ont considérablement progressé sur le plan esthétique. Elles restent légèrement moins translucides que l’E-max, mais leur rendu visuel s’est nettement amélioré par rapport aux premières générations, plus opaques et « plastiques ». Pour les dents du fond, là où l’enjeu est avant tout fonctionnel, la zircone reste le choix le plus sûr et le plus durable.
Matériau
Zone idéale
Esthétique
Résistance
Dents résine capdentaire vs céramique : Le comparatif honnête
Céramique dentaire capdentaire : quand la résine atteint ses limites
Les dents résine capdentaire — ou couronnes en composite — existent et sont une solution moins coûteuse à la céramique. Elles sont fabriquées en résine composite, le même matériau utilisé pour les plombages esthétiques. Elles présentent des avantages indéniables dans certains contextes : elles coûtent moins cher, elles sont plus faciles à réparer en cas de fissure, et elles peuvent constituer une solution transitoire valable.
Mais elles présentent aussi des limites importantes que tout patient doit connaître avant de choisir. La résine est un matériau poreux : elle absorbe les pigments alimentaires (café, thé, vin, tabac) et se teinte avec le temps, perdant progressivement son éclat initial. Elle s’use également plus vite que la céramique sous les forces masticatoires, nécessitant un remplacement plus fréquent. Et surtout, elle ne possède pas cette translucidité naturelle qui fait toute la différence esthétique : une dent en résine, même bien faite, a souvent un aspect légèrement « plat » ou « mat » comparé à une vraie dent ou à une couronne céramique de qualité.
Ce que la céramique apporte en plus
Face aux dents résine capdentaire, la céramique offre des avantages décisifs sur le long terme :
- La stabilité de la couleur : la surface vitrifiée de la céramique est imperméable aux pigments alimentaires. Le café, le thé, le tabac, le vin rouge n’ont aucune prise sur elle. Votre couronne reste aussi claire le jour de votre dépose qu’elle l’était au premier jour, dix ou quinze ans plus tard.
- La translucidité naturelle : contrairement à la résine qui reste opaque, la céramique laisse passer la lumière comme le ferait un vrai émail. Ce phénomène crée une profondeur visuelle et un éclat que même un expert a du mal à distinguer d’une dent naturelle.
- La biocompatibilité parfaite : la céramique est totalement inerte. Elle ne provoque aucune réaction allergique, aucune inflammation gingivale. La gencive qui l’entoure reste rose, saine et bien positionnée contrairement à certaines couronnes métal-céramique qui génèrent un retrait gingival avec le temps.
- La durabilité : une couronne céramique de qualité, bien entretenue, peut durer 15 à 20 ans parfois plus. Un composite ou une résine nécessite généralement un remplacement au bout de 5 à 8 ans.
Céramique dentaire capdentaire : Bienfaits et avantages
Une solution complète pour la santé bucco-dentaire
Les bienfaits d’un capdentaire céramique vont bien au-delà de l’esthétique. Sur le plan fonctionnel, la couronne reconstitue une surface occlusale idéale qui permet une mastication efficace, un confort alimentaire retrouvé, et une répartition harmonieuse des forces sur toute l’arcade. Elle empêche les dents voisines de se déplacer dans le vide laissé par une dent absente ou abîmée évitant ainsi des problèmes d’occlusion qui peuvent, à terme, affecter les articulations de la mâchoire.
Sur le plan bactériologique, la couronne bien scellée forme une barrière hermétique qui protège la racine des infiltrations bactériennes. Elle élimine les micro-espaces où les bactéries pourraient s’accumuler pour provoquer des caries récidivantes ou des infections. C’est une protection complète, à 360 degrés, de la dent restaurée.
Les avantages clés en un regard
- Esthétique irréprochable : mimétisme parfait avec les dents naturelles environnantes
- Biocompatibilité totale : aucun risque d’allergie, gencive saine et stable
- Stabilité chromatique : couleur invariable dans le temps, imperméable aux colorants
- Résistance mécanique : supporte les forces masticatoires sans se fissurer (particulièrement la zircone)
- Protection de la racine : étanchéité parfaite contre les infiltrations bactériennes
- Longévité exceptionnelle : 15 à 20 ans en moyenne avec un bon entretien
- Confort total : prothèse fixe, oubliée rapidement après la période d’adaptation
Imprimante 3D dentaire capdentaire : La révolution numérique en cabinet
Céramique dentaire capdentaire : De la pâte à empreinte au scanner 3D
Pendant longtemps, la fabrication d’une couronne dentaire commençait par une empreinte physique : le dentiste plaçait dans votre bouche un porte-empreinte rempli d’une pâte visqueuse (et souvent désagréable) qui durcissait en quelques minutes pour mouler vos dents. Ce modèle en plâtre était ensuite envoyé au laboratoire de prothèse, où un prothésiste fabriquait manuellement la couronne. Le délai entre la préparation de la dent et la pose définitive était souvent de deux à trois semaines pendant lesquelles le patient portait une couronne provisoire.
L’arrivée de l’imprimante 3D dentaire capdentaire — et plus largement des flux numériques CAO/FAO (Conception et Fabrication Assistées par Ordinateur) — a profondément changé cette réalité. Aujourd’hui, de nombreux cabinets dentaires sont équipés d’un scanner intra-oral : une petite caméra 3D qui filme l’intérieur de votre bouche et génère en quelques minutes un modèle numérique tridimensionnel d’une précision de quelques microns. Fini la pâte, fini l’inconfort, fini le risque d’erreur de dimensionnement.
Comment fonctionne la fabrication numérique ?
Une fois le modèle numérique capturé, le logiciel de conception assistée par ordinateur permet au praticien ou au prothésiste de dessiner virtuellement la couronne idéale : forme anatomique, épaisseur, contacts avec les dents voisines, relief occlusal. Tout peut être ajusté, corrigé, simulé avant même qu’un seul bloc de céramique ne soit touché.
Ce fichier numérique est ensuite transmis à une machine de fraisage ou d’impression 3D qui sculpte la couronne directement dans un bloc de céramique haute densité — E-max, zircone ou composite de qualité. La pièce obtenue subit ensuite une phase de frittage (passage dans un four à très haute température) qui lui confère sa dureté et sa résistance définitives.
Les avantages concrets pour le patient
L’imprimante 3D dentaire capdentaire apporte des bénéfices très concrets :
- La rapidité : dans les cabinets équipés en flux entièrement numérique, ce qu’on appelle la dentisterie « chairside », il est possible de fabriquer et poser une couronne lors d’une séance unique. Le patient arrive le matin avec une dent abîmée, et repart quelques heures plus tard avec une couronne définitive scellée. Plus de provisoire, plus d’attente, plus de deuxième rendez-vous.
- La précision : le scan numérique élimine les déformations inhérentes aux empreintes physiques. Le modèle est fidèle à la réalité à quelques microns près, ce qui se traduit par un ajustement bien plus précis de la couronne sur la dent préparée.
- La traçabilité : le fichier numérique est conservé. En cas de perte ou de casse de la prothèse, il peut être réutilisé pour fabriquer une réplique identique sans recommencer toute la procédure depuis le début.
- Le confort : plus d’empreinte physique pour les patients ayant un fort réflexe nauséeux. Le scan est indolore, rapide, et bien mieux toléré.
Comment se déroule la pose d'un capdentaire céramique ?
La préparation de la dent : une étape clé
Tout commence par la préparation de la dent : le dentiste retire une fine couche d’émail sur toute la périphérie de la dent pour créer l’espace nécessaire à la couronne. Cette taille est réalisée avec une précision millimétrique, trop peu de retrait et la couronne sera trop épaisse, trop volumineuse ; trop de retrait et la structure dentaire s’affaiblit inutilement.
Pendant toute cette phase, le praticien utilise une irrigation constante pour refroidir la zone travaillée et protéger le nerf contre tout échauffement. Si la dent est encore vivante, cette précaution est essentielle pour éviter une inflammation pulpaire post-opératoire.
Céramique dentaire capdentaire : empreinte numérique et fabrication
Vient ensuite la prise d’empreinte numérique par scanner intra-oral, ou l’empreinte physique dans les cabinets non encore équipés de cette technologie. Le fichier (ou le modèle en plâtre) est transmis au laboratoire ou traité directement dans le cabinet pour fabriquer la couronne.
Pendant la période de fabrication, qui peut aller de quelques heures (flux numérique en cabinet) à deux semaines (laboratoire externe), le patient porte une couronne provisoire en résine qui protège la dent préparée et lui permet de manger normalement.
L’ajustage et le collage définitif
Lors du rendez-vous de pose, le dentiste vérifie méticuleusement plusieurs points avant de procéder au collage : l’ajustement marginal de la couronne sur la dent préparée, les contacts avec les dents voisines, l’occlusion avec les dents antagonistes, et bien sûr le rendu esthétique, couleur, forme, intégration dans le sourire.
Le collage définitif fait appel à des résines adhésives de haute performance. La surface interne de la couronne est d’abord traitée avec un acide qui crée des micro-porosités permettant une adhésion chimique intime entre la céramique et la résine de collage. Puis la résine est placée, la couronne positionnée avec précision, et le tout est polymérisé par une lampe à lumière bleue. L’étanchéité obtenue est parfaite, durable, et protège la racine des infiltrations bactériennes pour des années.
Prix d'un capdentaire céramique : Ce qu'il faut prévoir en France
Céramique dentaire capdentaire : Les fourchettes de tarifs
Le prix d’un capdentaire céramique varie selon plusieurs facteurs : le matériau choisi (l’E-max et la zircone sont plus coûteux que les résines), la technologie utilisée (flux numérique, laboratoire haut de gamme), la localisation géographique du cabinet (les tarifs parisiens sont généralement plus élevés), et la complexité du cas clinique.
En France, voici les fourchettes habituellement pratiquées :
- Couronne céramique sur dent naturelle : entre 600 € et 1 200 € selon le matériau et la technicité
- Couronne sur implant : entre 800 € et 1 500 €, auxquels s’ajoutent les frais de l’implant lui-même
- Facette en céramique : entre 400 € et 900 € par dent
Ces tarifs peuvent sembler élevés, mais ils reflètent la qualité du matériau, le travail artisanal ou numérique du prothésiste, et la durabilité du résultat, qui s’étale sur 15 à 20 ans, soit un coût annualisé souvent très raisonnable.
Céramique dentaire : Les remboursements possibles
Le dispositif 100 % Santé (anciennement reste à charge zéro) a étendu les remboursements intégraux à certaines couronnes céramiques dans le secteur antérieur, les dents visibles dans le sourire. Concrètement, pour les incisives et les canines, il est possible d’obtenir une couronne céramique sans aucun reste à charge pour le patient, grâce à la combinaison Assurance Maladie + mutuelle responsable.
Pour les molaires et prémolaires, les couronnes hors panier 100 % Santé entraînent un reste à charge variable selon votre complémentaire santé. Demandez toujours un devis détaillé à votre dentiste avant de commencer le traitement, et vérifiez vos garanties auprès de votre mutuelle.
Le tourisme dentaire : Δ attention vigilance
Pour les réhabilitations globales impliquant plusieurs couronnes, certains patients choisissent de se faire soigner à l’étranger, en Hongrie, en Espagne, au Portugal ou en Turquie, où les tarifs peuvent être 40 à 60 % moins élevés qu’en France pour des soins de qualité équivalente. Cette option mérite d’être envisagée pour les cas complexes, à condition de bien se renseigner sur la réputation du cabinet, les matériaux utilisés et les conditions de suivi post-opératoire.
Résultats attendus et durée de vie d'une couronne céramique
Ce que vous pouvez vraiment espérer
Les résultats d’un capdentaire céramique bien réalisé sont généralement remarquables. Sur le plan esthétique, une couronne E-max ou en porcelaine feldspathique posée sur une incisive est quasiment indétectable à l’œil nu, même pour un professionnel. Sur le plan fonctionnel, vous retrouvez rapidement une mastication confortable et naturelle, sans douleur ni gêne particulière après la période d’adaptation initiale.
La durée de vie moyenne d’une couronne céramique de qualité est de 15 à 20 ans, voire davantage dans les conditions optimales. Certaines couronnes en zircone, posées sur des molaires par des praticiens expérimentés et entretenues rigoureusement, peuvent durer bien au-delà de ces estimations.
Les facteurs qui réduisent cette longévité sont connus : le bruxisme (grincement des dents nocturne), une hygiène bucco-dentaire insuffisante, le tabac, et l’absence de suivi régulier chez le dentiste. À l’inverse, une hygiène irréprochable et un contrôle annuel peuvent nettement prolonger la durée de vie de la prothèse.
Entretien et suivi : Comment protéger son investissement
Une couronne céramique ne demande pas un entretien révolutionnaire, juste de la régularité et de la rigueur. Le brossage deux fois par jour avec une brosse à dents souple reste la base. Mais il ne suffit pas : la jonction entre la couronne et la gencive est une zone à risque où la plaque dentaire peut s’accumuler et provoquer une inflammation gingivale qui, à terme, compromet la stabilité de la prothèse.
Pour nettoyer efficacement cette zone, utilisez quotidiennement du fil dentaire ou des brossettes interdentaires adaptées à l’espace disponible entre vos dents. Un jet dentaire peut également compléter ce nettoyage, notamment sur les couronnes sur implant.
La gouttière occlusale : l’alliée des bruxeurs
Si vous souffrez de bruxisme, ce grincement ou serrage involontaire des dents, souvent nocturne, votre dentiste vous recommandera presque certainement une gouttière occlusale en résine à porter la nuit. Ce dispositif sur mesure amortit les forces exercées entre les mâchoires et protège vos couronnes céramiques des contraintes mécaniques excessives qui pourraient les fissurer à long terme. Ce n’est pas un accessoire optionnel pour un bruxeur : c’est l’assurance vie de vos prothèses. Une couronne céramique peut résister à des dizaines d’années de mastication normale, mais elle ne résiste pas indéfiniment à des milliers de cycles de grincement nocturne intensif.Le suivi annuel indispensable
Un contrôle chez votre dentiste au moins une fois par an permet de vérifier l’état du joint de collage, l’absence d’infiltration bactérienne sous la couronne, et l’intégrité du matériau céramique. Ces contrôles permettent de détecter précocement tout problème, une microfissure, un début de décollement, une gencive qui se rétracte et d’intervenir avant que la situation ne devienne compliquée.
Un détartrage régulier (une à deux fois par an selon votre tendance à former du tartre) complète ce suivi et maintient la gencive dans un état de santé optimal autour de la prothèse.
Routine d’entretien recommandée :
- Brossage 2 fois par jour avec brosse souple
- Fil dentaire ou brossettes quotidiennement
- Gouttière nocturne si bruxisme
- Détartrage professionnel 1 à 2 fois par an
- Contrôle dentaire annuel avec vérification de l’occlusion
Céramique dentaire capdentaire : Conclusion
La céramique dentaire capdentaire est aujourd’hui l’une des solutions les plus abouties que la dentisterie moderne puisse offrir pour restaurer une dent abîmée, fracturée ou manquante. Elle combine des bienfaits fonctionnels réels, protection de la racine, étanchéité bactérienne, mastication retrouvée avec des avantages esthétiques que nulle autre solution ne peut égaler : translucidité naturelle, stabilité chromatique sur des décennies, intégration parfaite dans le sourire.
Face aux dents résine capdentaire, la céramique s’impose sur le long terme par sa durabilité, sa stabilité de couleur et son rendu incomparablement plus naturel. Et avec l’arrivée de l’imprimante 3D dentaire capdentaire et des flux numériques CAO/FAO, la fabrication de ces prothèses est devenue encore plus précise, plus rapide et plus confortable pour le patient.
Quant au prix, il mérite d’être mis en perspective : une couronne céramique qui dure 15 à 20 ans représente un coût annualisé souvent très raisonnable et les possibilités de remboursement via le 100 % Santé rendent cette solution accessible pour les dents visibles. La vraie question n’est donc pas « est-ce que j’en ai les moyens ? » mais plutôt « est-ce que je peux me permettre de ne pas le faire ? »
Parlez-en à votre dentiste, demandez un devis détaillé, et n’hésitez pas à consulter plusieurs praticiens si nécessaire. Votre sourire le vaut largement.



